• 16 York St, Stourport-on-Severn DY13 9EE

  • Before & After

    Teeth Straightening and Teeth Whitening

    Porcelain Veneers

    Porcelain Veneers

    Porcelain Veneers

    Porcelain Veneers

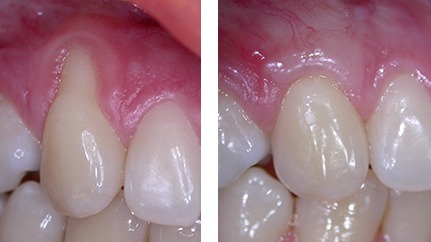
    Gum Surgery

    Composite Bonding

    Composite Bonding

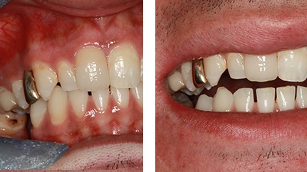
    New Crowns

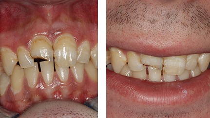
    Porcelain Bridge

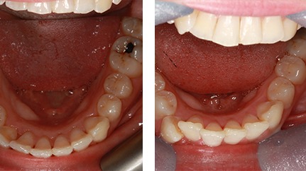
    Porcelain Veneers and Teeth Whitening

    Teeth Straightening and Teeth Whitening

    Teeth Straightening and Teeth Whitening

    Teeth Straightening and Teeth Whitening

    Teeth Straightening

    Teeth Straightening

    Teeth Whitening

    Teeth Whitening

    Teeth Whitening

    Teeth Whitening

    Teeth Whitening

    Teeth Whitening & Emax Crown

    Teeth Whitening & Emax Crown

    Teeth Whitening & Emax Crown